Page 8 / Case
Fig.4a - normal epiglottis and arytenoids; Fig.4b - normal vocal cords, fullness seen below cords; Fig.4c - irregular mucosa in subglottic space with stenosis; Fig.4d-f - normal trachea below subglottic space with normal subsegmental bronchi (blood seen is iatrogenic related to procedure)
On the next screen you will see selected CT images.
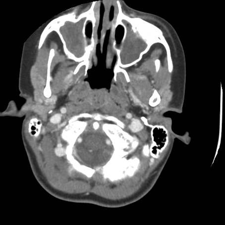
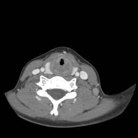
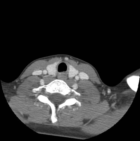
Describe CT.
Next page /
ANSWER
Fig.4a - normal epiglottis and arytenoids; Fig.4b - normal vocal cords, fullness seen below cords; Fig.4c - irregular mucosa in subglottic space with stenosis; Fig.4d-f - normal trachea below subglottic space with normal subsegmental bronchi (blood seen is iatrogenic related to procedure)
On the next screen you will see selected CT images.
![]() Figure 5a |
![]() Figure 5b |
![]() Figure 5c |
![]() Figure 5d |
![]() Figure 5e |
![]() Figure 5f |
![]() Figure 5g |
Describe CT.







