Page 2 / January 07
Marked abdominal distention. Large amount of stool is seen in the colon extending from the rectum. No definite bowel wall thickening. No air-fluid level. No free air. Of note left sided pleural effusion.
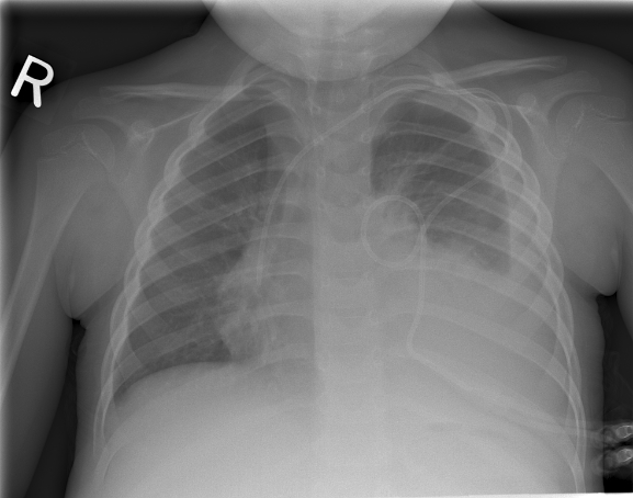
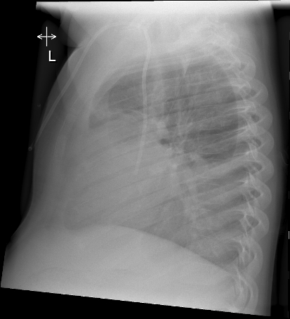
A chest X-ray with posterioanterior, lateral and left lateral decubitus views was also obtained:
Next page /
ANSWER:
Marked abdominal distention. Large amount of stool is seen in the colon extending from the rectum. No definite bowel wall thickening. No air-fluid level. No free air. Of note left sided pleural effusion.
A chest X-ray with posterioanterior, lateral and left lateral decubitus views was also obtained:
![]() Figure 2-a |
![]() Figure 2-b |
![]() Figure 2-c |



