Our Answer
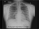
There is obliteration of the right costo-phrenic angle and obscured right diaphragm. The right lateral decubitus view shows a shiftining fluid level indicating free fluid above the right hemidiaphragm
He complet blood count showed a hemoglobin was 113 g/L, White Blood Cells were 10.74 * 109/L, with 76% Neutrophils, and Platelets were 273 * 109/L.
When further history was obtained, we found out that 10 days prior to the current ED presentation, she had an upper respiratory tract infection and 4 days after that she had a syncopal episode at school. That happened during exercise, and during that episode she was noticed to be pale. It lasted only one minute. She lost bowel control during that episode, but she recovered without residual symptoms. She was then evaluated at our ED: physical examination was entirely normal, ECG was normal, CT scan with infusion of the head was normal, and ß-HCG was negative. A chest radiograph was done at that time

