Our Answer
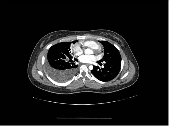
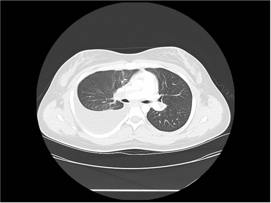
We ordered a CT scan with infusion of the chest
I will show you 12 CT-scan cuts.
![]() |
![]() |
![]() |
![]() |
![]() |
![]() |
![]() |
![]() |
![]() |
![]() |
![]() |
![]() |

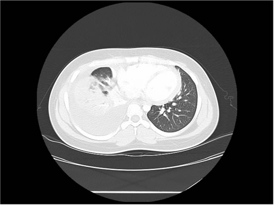
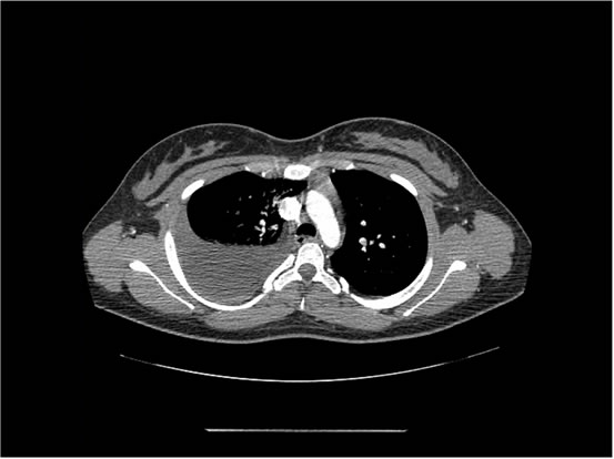
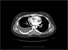
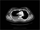
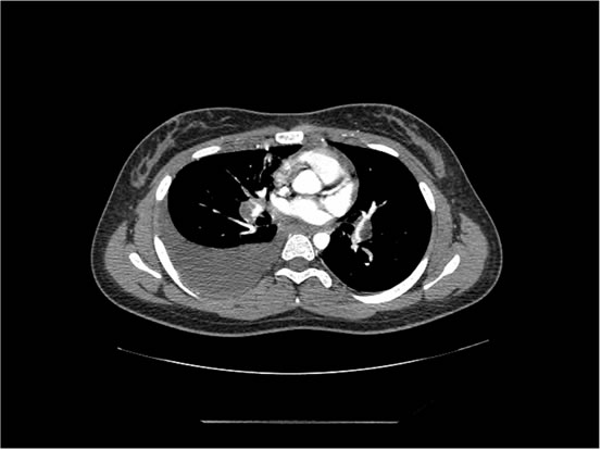
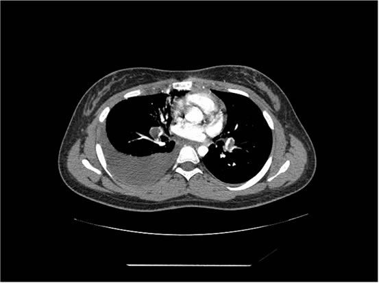
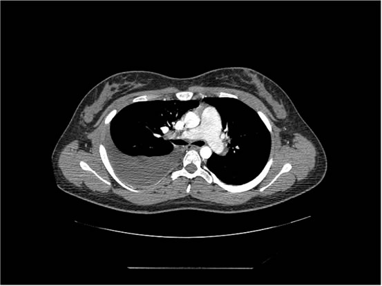
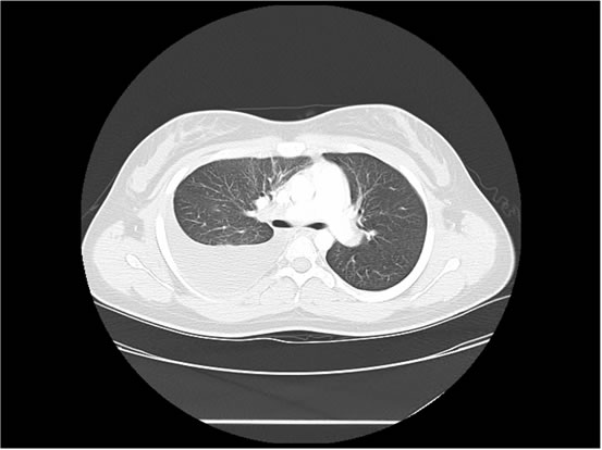
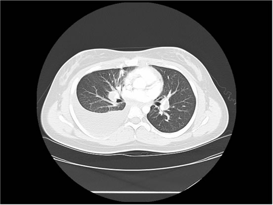
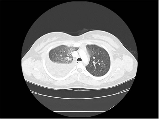
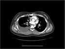
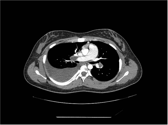
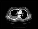
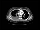
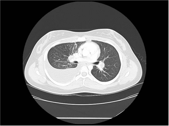
We ordered a CT scan with infusion of the chest
I will show you 12 CT-scan cuts.
![]() |
![]() |
![]() |
![]() |
![]() |
![]() |
![]() |
![]() |
![]() |
![]() |
![]() |
![]() |