Our Answer
At that point, our working diagnosis was that of an infected congenital cystic adenomatoid malformation. The management steps envisaged were treatment an infection followed by resection.
Thoracoscopic resection was done after 6 weeks and the gross anatomic appearance showed a distinct air-filled entity, separate from left upper and left lower lobes. There was small tissue-band attachment to left lower lobe with vascular adhesions to pleura.
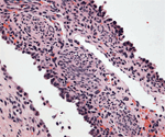
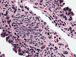
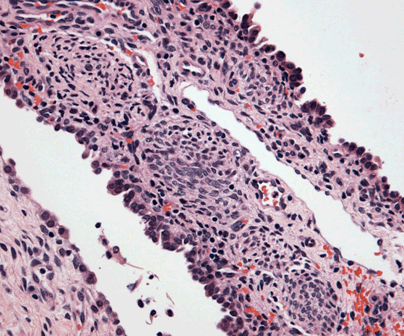
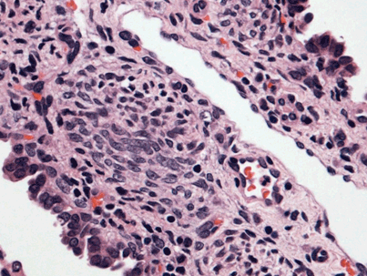
The histopathology examination showed hypercellular foci composed of primitive spindled and round cells.
![]() Figure 11 |
![]() Figure 12 |
The above findings were consistent with the diagnosis of pleuropulmonary blastoma type I.
The patient, then, was started on chemotherapy as there is a high risk of recurrence and/or progression to more aggressive forms of pleuropulmonary blastoma with resection-only approach. The patient completed his chemotherapy course, and he continues to be asymptomatic.
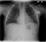
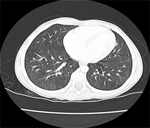
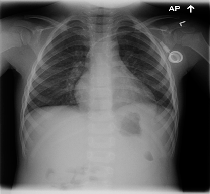
The following is a chest X-ray and CT-scan slide, showing the nice reexpansion of the left lung after few months of the surgery.
![]() Figure 13 |
![]() Figure 14 |
Next page / / References





