Page 3 / April 07
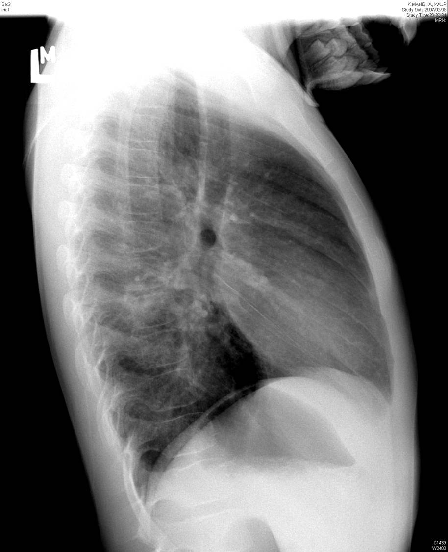
A chest x-ray from local hospital was reviewed
Next page /
A chest x-ray from local hospital was reviewed
![]() |
![]() |
| Figure 1-a | Figure 1-b |
![]() |
![]() |
| Figure 2-a | Figure 2-b |
![]() |
![]() |
| Figure 3-a | Figure 3-b |






