Page 7 / April 07
Her screening coagulogram including Prothrombin time (PTT) and INR were within normal limits. Her anti-neutrophil cytoplasmic antibody (ANCA) and anti- glomerular basement membrane (Anti-GBM) were negative. Immunology workup revealed normal level of Complement (C3, C4) and immunoglobulins (IgG, IgA, IgM, and IgE).
She had a Mantoux test for tuberculosis which was read at 72 hours and was negative.
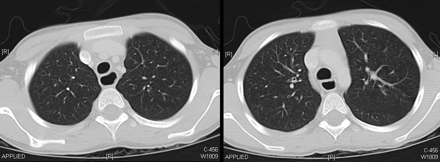
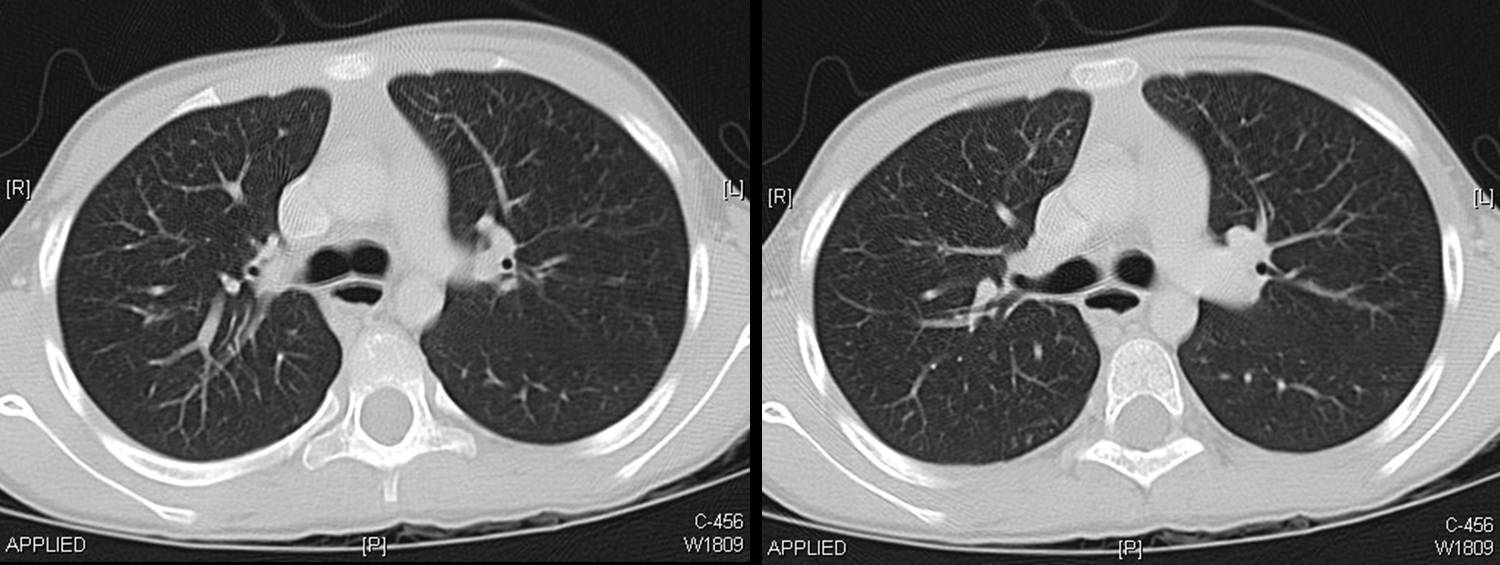
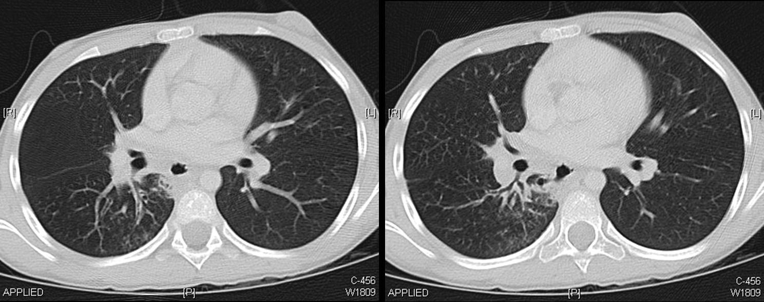
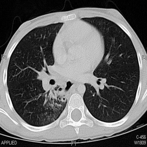
A CT scan of chest was done.
The following screen shows the images from the Chest CT.
Next page /
ANSWER:
Her screening coagulogram including Prothrombin time (PTT) and INR were within normal limits. Her anti-neutrophil cytoplasmic antibody (ANCA) and anti- glomerular basement membrane (Anti-GBM) were negative. Immunology workup revealed normal level of Complement (C3, C4) and immunoglobulins (IgG, IgA, IgM, and IgE).
She had a Mantoux test for tuberculosis which was read at 72 hours and was negative.
A CT scan of chest was done.
The following screen shows the images from the Chest CT.
![]() |
![]() |
![]() |
| Figure 4-a | Figure 4-b | Figure 4-c |
![]() |
![]() |
![]() |
| Figure 4-d | Figure 4-e | Figure 4-f |
![]() |
||
| Figure 4-g |







