Page 1 / Case 04.03
Respiratory Fellow, Hospital For Sick Children
Toronto, Ontario, Canada
This male infant was delivered at 38 weeks to a primiparous mother, with the aid of vacuum extraction. A note was made of some light meconium staining of the amniotic fluid, though the child was given to parents after having been assigned Apgar at 1, 5, and 10 minutes were 8, 9 and 9 respectively. At birth, the physician noted a unilateral eruption of papules/vesicles that covered the entire left side of the child's body.
PRESENTING FELLOW
Dr. April PriceRespiratory Fellow, Hospital For Sick Children
Toronto, Ontario, Canada
THE CASE
Case of a newborn infant with tachypnea and hypoxia.HISTORY
Initial PresentationThis male infant was delivered at 38 weeks to a primiparous mother, with the aid of vacuum extraction. A note was made of some light meconium staining of the amniotic fluid, though the child was given to parents after having been assigned Apgar at 1, 5, and 10 minutes were 8, 9 and 9 respectively. At birth, the physician noted a unilateral eruption of papules/vesicles that covered the entire left side of the child's body.
At 12 hours of life, the child developed an oxygen dependence that necessitated a trial of CPAP, but he then went on to develop acute respiratory failure, requiring intubation. His oxygen need reached 100%, and inotropes were started. He appeared to develop persistent pulmonary hypertension of the newborn, with increased right-sided pressures confirmed on echocardiogram, thought secondary to meconium aspiration. He received 4 doses of surfactant, and was started on antiobiotics and acyclovir.
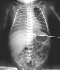
His initial chest x-ray (below) was markedly abnormal:
![]()
ENLARGE this x-ray.
WHAT IS YOUR INTERPRETATION OF THIS FILM?
