Page 5/Case 12/01
ANSWER
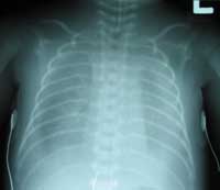
The x-ray shows moderate bilateral effusion.There is atelaectasis of the left lower lobe. Mild body wall edema is noted. The lungs display a normal vascular pattern.
BELOW is a follow-up X-RAY later the same day.
WHAT HAPPENED ? DO YOU WISH TO COMMENT?
Next page /
Archives / Contact
us
