Our Answer
As he was otherwise well a more "conservative" approach was taken. GM-CSF has been reported to be beneficial in a number of patients and he was started on nebulized GM-CSF, 250 mcg BID ,via mouth piece which he took well. The prednisone was weaned. The prednisone was weaned as it has been reported deleterious to LPI as they are prone to severe osteoporosis. There was no evidence to support its use on the clinical history obtained.
He tolerated his nebulized therapy remarkably for his age and remained on nocturnal supplemental oxygen.
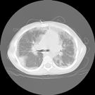
![]() Figure 3 |
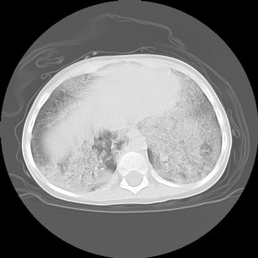
![]() Figure 4a |
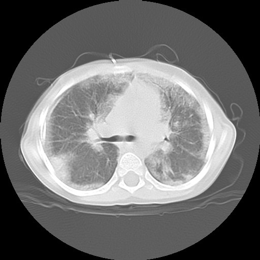
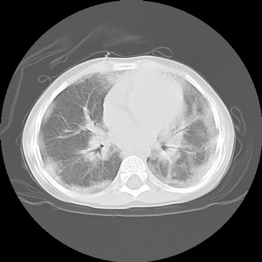
![]() Figure 4b |
![]() Figure 4c |




