Welcome to Cross-Canada Paediatric - Respiratory Residency Rounds
PRINT PAGE
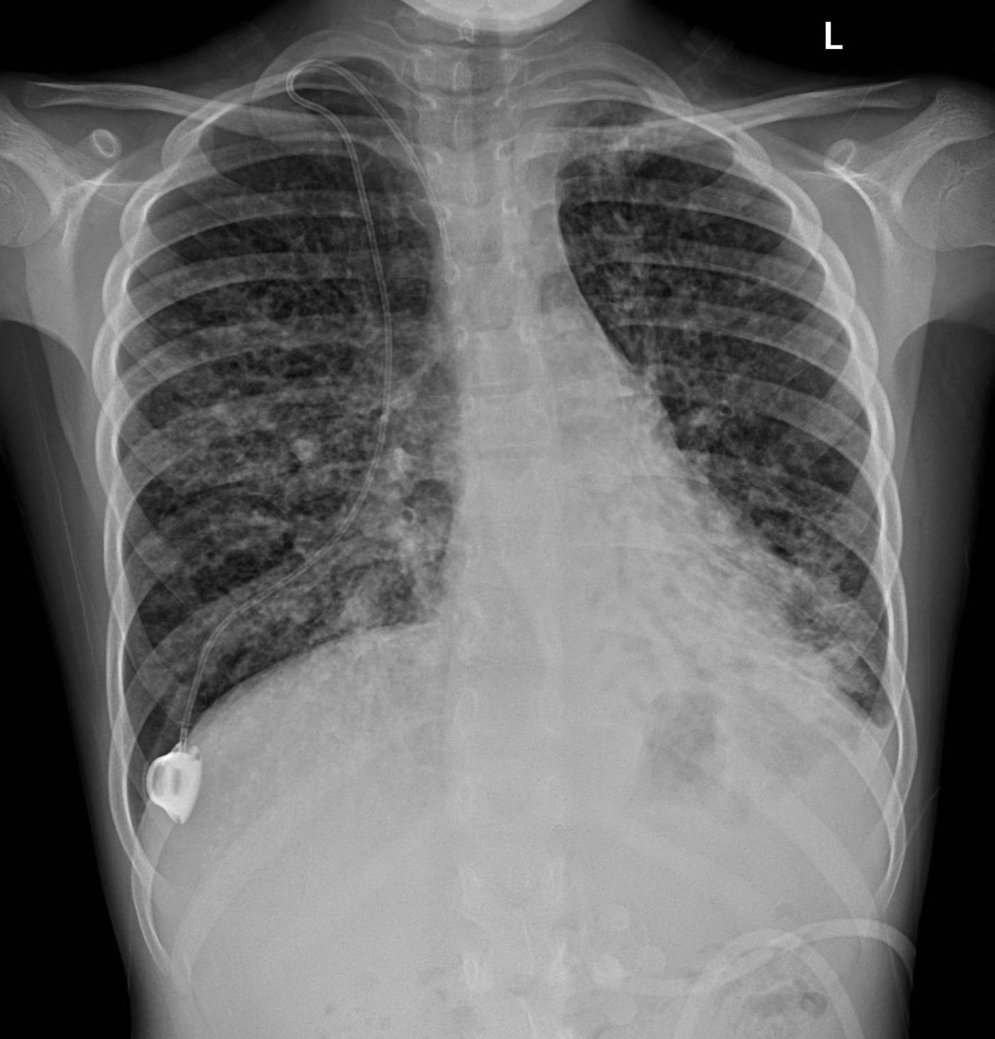
Figure 3

How do you interpret the chest X-ray image?


Next page / / References