Welcome to Cross-Canada Paediatric - Respiratory Residency Rounds
PRINT PAGE
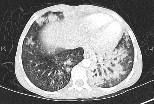
Figure 4

How do you interpret the CT image?


Next page / / References