Page 13 / March 07
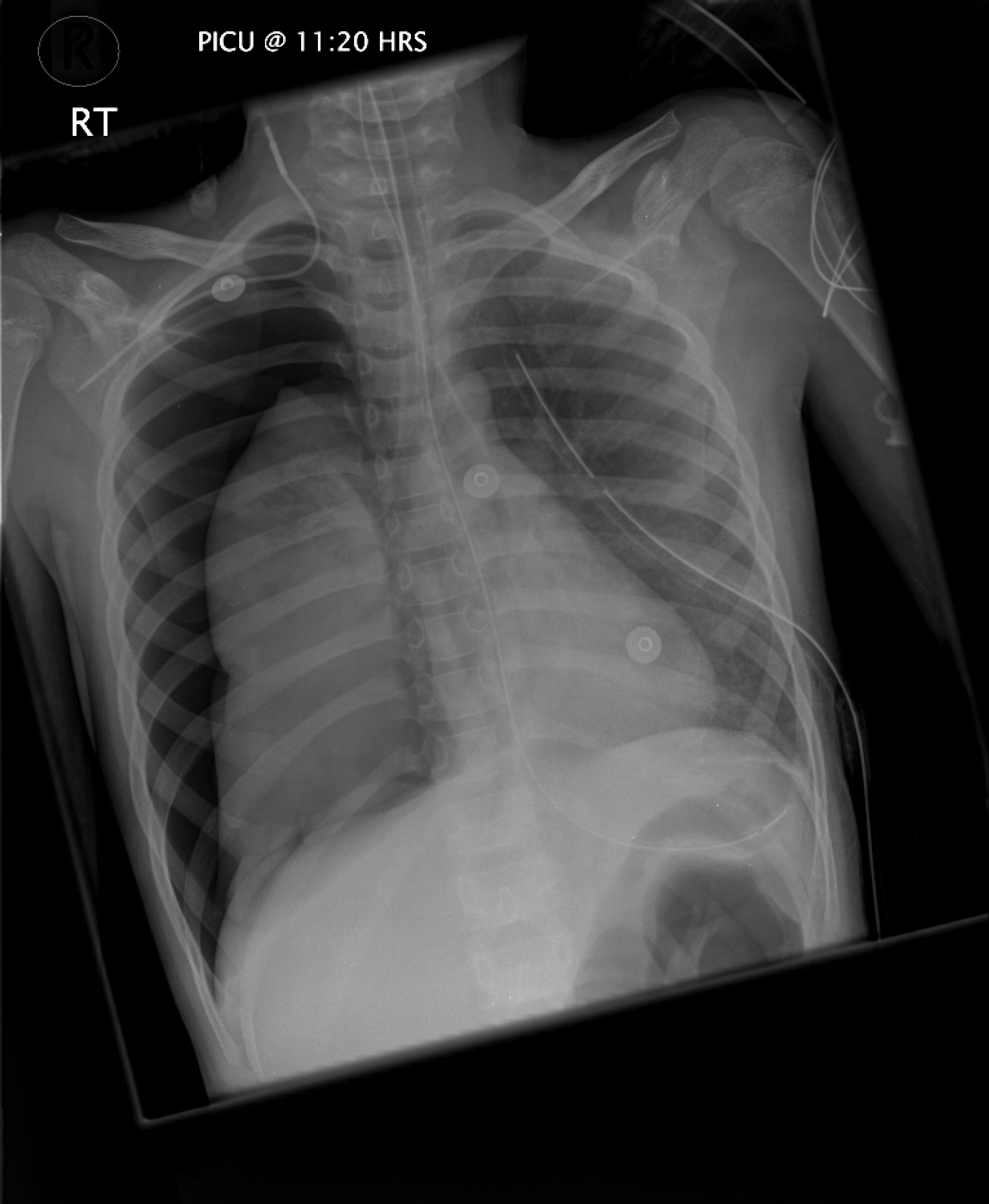
He could have problems related to his ventilation or specific to his condition. The ET tube might have become obstructed with blood or become displaced or he could have septicaemia. He might have had profound intrapulmonary hemorrhage. The following CXR shows he had a pneumothorax. There is an obvious concern regarding the prognosis in this child heightened by the acute deterioration. With continued bleeding there is an increasing concern of fatal pulmonary hemorrhage associated with the risk of deterioration unrelated to the diagnosis of pulmonary capillaritis. It seems appropriate to consider the role of more invasive life supportive modalities.
Next page /
ANSWER:
He could have problems related to his ventilation or specific to his condition. The ET tube might have become obstructed with blood or become displaced or he could have septicaemia. He might have had profound intrapulmonary hemorrhage. The following CXR shows he had a pneumothorax. There is an obvious concern regarding the prognosis in this child heightened by the acute deterioration. With continued bleeding there is an increasing concern of fatal pulmonary hemorrhage associated with the risk of deterioration unrelated to the diagnosis of pulmonary capillaritis. It seems appropriate to consider the role of more invasive life supportive modalities.

