Page 14 / March 07
There is a role for ECMO in idiopathic pulmonary hemorrhage. The main issue to deliberate over is regarding the prognosis of the condition. This would be done with the expectation of remission, if not resolution, of the underlying disease. This child was previously healthy and has no other systemic complications. There is always the risk of fatal bleeding and exsanguination from vascular access for ECMO but in the course of his illness there has been no bleeding either spontaneously or secondary to procedures. Therefore, ECMO was considered in the face of intractable hypoxemia.
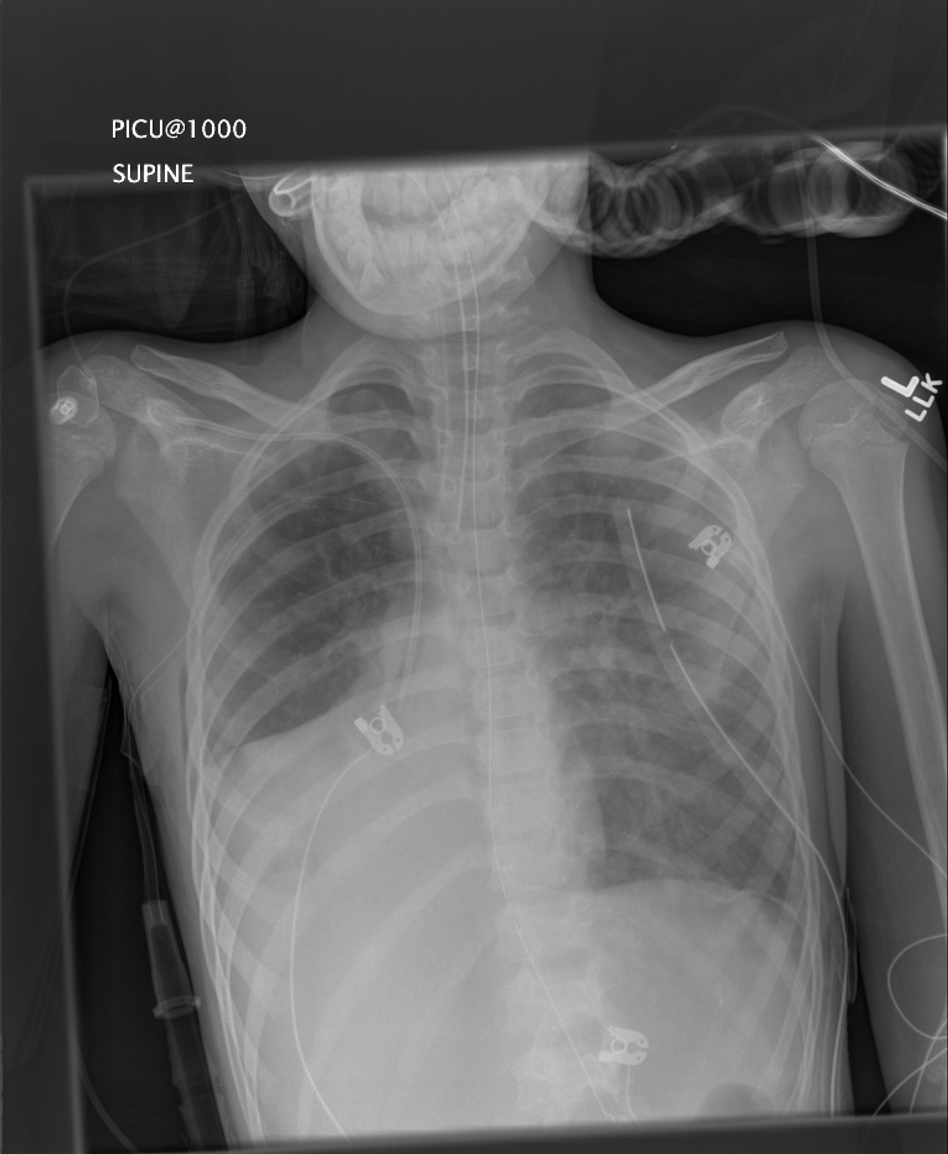
On day 20 he developed right sided atelectasis. His pressures increased to 33/15 and FiO2 to 0.85. The PICU consult the chest team regarding bronchoscopy in the morning.
Next page /
ANSWER:
There is a role for ECMO in idiopathic pulmonary hemorrhage. The main issue to deliberate over is regarding the prognosis of the condition. This would be done with the expectation of remission, if not resolution, of the underlying disease. This child was previously healthy and has no other systemic complications. There is always the risk of fatal bleeding and exsanguination from vascular access for ECMO but in the course of his illness there has been no bleeding either spontaneously or secondary to procedures. Therefore, ECMO was considered in the face of intractable hypoxemia.
On day 20 he developed right sided atelectasis. His pressures increased to 33/15 and FiO2 to 0.85. The PICU consult the chest team regarding bronchoscopy in the morning.

