Page 5 / March 07
He had induced sputum sent for bacterial and viral cultures in the Emergency Room though these samples were not sufficient for a comprehensive analysis. The bacterial and viral cultures that were negative including for bordetella, mycoplasma, adenovirus, Chlamydia pneumonia and legionella. His urinalysis was negative for hematuria and EKG was normal. He had a mantoux test which was read at 72 hours and was negative. His C3 was 1.09 and C4 0.21. At the time of his admission he had blood work for vasculitis causes; Anti GBM, Anti Rho, anti-RNA, anti La, anti sm, ANA, Rheumatoid Factor, DNase, Anti Smooth muscle antibody, Anti RNP antibody, Anti Ro antibody, anti-cardiolipin antibody and anti-phosphalipid antibody. It took several days for the analysis and final reporting of these tests. The clotting factors, fibrinogen and von Willibrand levels were normal.
The child's hemoptysis continues though he remains well and on day two of admission the General Pediatricians asked for a Chest Consult. He is assessed by the Chest Fellow who requests CT scan of the sinuses and chest and arranges for bronchoscopy. The Gastrointestinal Team are also consulted but they note that the dark stools only occurred on one occasion, that the predominant symptom is of chest symptoms and they agree to do an endoscopy only if there is no abnormality seen on the CT or bronchoscopy. They will be present in the operating room ready to proceed after bronchoscopy should it be necessary.
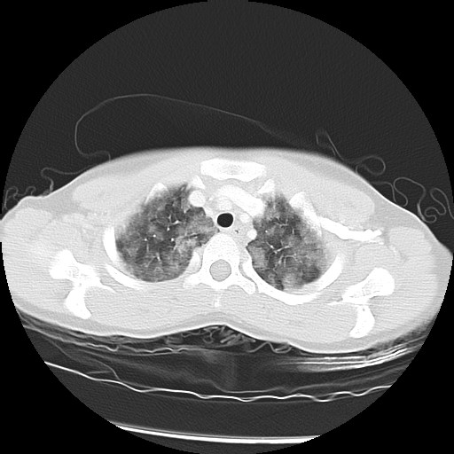
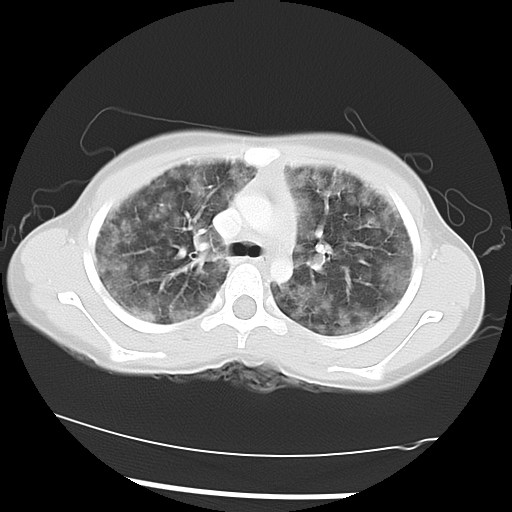
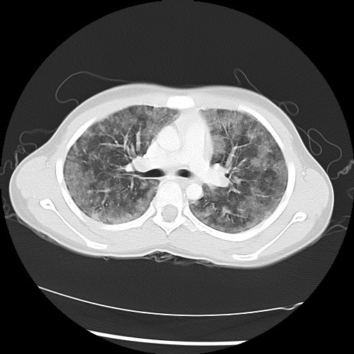
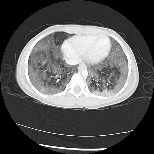
The following screen shows the images from the Chest CT:
Next page /
ANSWER:
He had induced sputum sent for bacterial and viral cultures in the Emergency Room though these samples were not sufficient for a comprehensive analysis. The bacterial and viral cultures that were negative including for bordetella, mycoplasma, adenovirus, Chlamydia pneumonia and legionella. His urinalysis was negative for hematuria and EKG was normal. He had a mantoux test which was read at 72 hours and was negative. His C3 was 1.09 and C4 0.21. At the time of his admission he had blood work for vasculitis causes; Anti GBM, Anti Rho, anti-RNA, anti La, anti sm, ANA, Rheumatoid Factor, DNase, Anti Smooth muscle antibody, Anti RNP antibody, Anti Ro antibody, anti-cardiolipin antibody and anti-phosphalipid antibody. It took several days for the analysis and final reporting of these tests. The clotting factors, fibrinogen and von Willibrand levels were normal.
The child's hemoptysis continues though he remains well and on day two of admission the General Pediatricians asked for a Chest Consult. He is assessed by the Chest Fellow who requests CT scan of the sinuses and chest and arranges for bronchoscopy. The Gastrointestinal Team are also consulted but they note that the dark stools only occurred on one occasion, that the predominant symptom is of chest symptoms and they agree to do an endoscopy only if there is no abnormality seen on the CT or bronchoscopy. They will be present in the operating room ready to proceed after bronchoscopy should it be necessary.
The following screen shows the images from the Chest CT:
![]() |
![]() |
![]() |
| Figure 2-a | Figure 2-b | Figure 2-c |
![]() |
![]() |
|
| Figure 2-d | Figure 2-f |





