Page 6 / May 07
At this point the following were ordered:
Next page /
ANSWER:
At this point the following were ordered:
- Sputum for bacterial and viral cultures.
- Cultures were negative including for bordetella, mycoplasma, adenovirus, Chlamydia pneumoniae and legionella.
- Fungal cultures came back negative at a later stage.
- Electrocardioram
- normal.
- ECHO cardiogram
- showed good biventricular function. LVED/ LA was increased (4.0/3.3). No mitral regurgitation/ aortic insufficiency. Mild tricuspid regurgitation/ pulmonary insufficiency. Normal diastolic function.
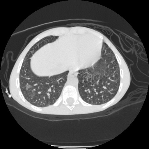
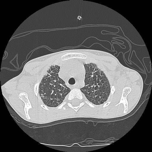
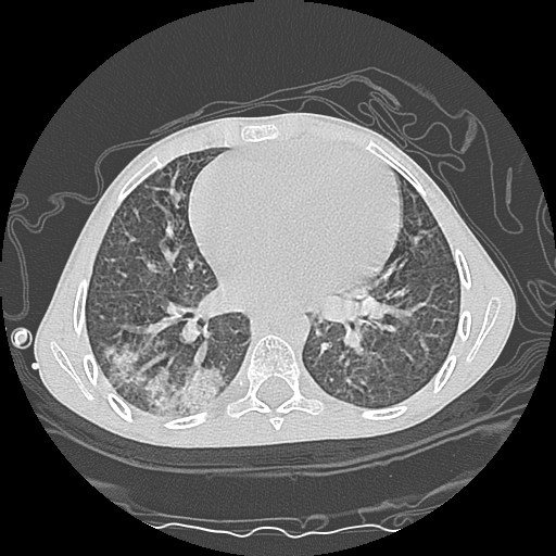
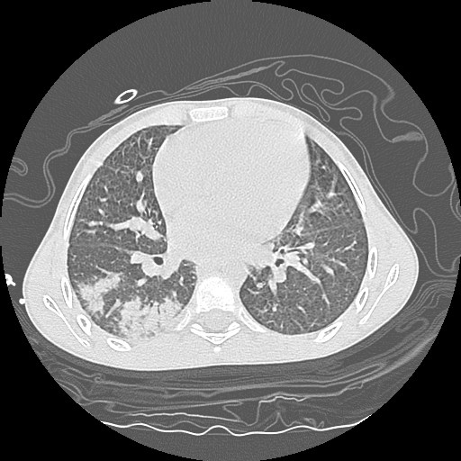
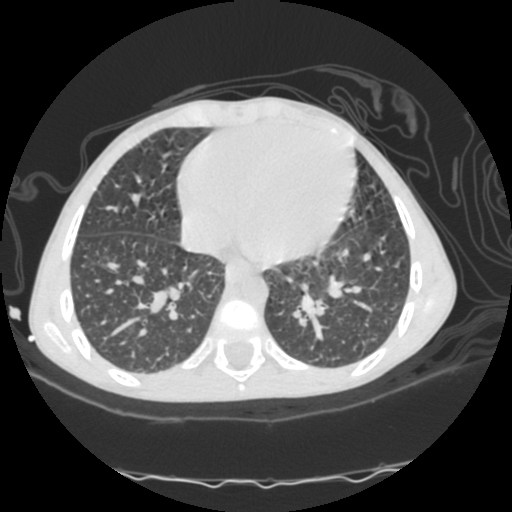
- Computerized tomography (CT) of chest.
![]() |
![]() |
![]() |
| CT3 | CT4 | CT5 |
![]() |
![]() |
|
| CT1 | CT2 |





