Page 3 / Case 11.02
1. Respiratory distress syndrome
2. Intracranial hemorrhage
3. Congenital heart disease
4. Congenital diaphragmatic hernia
5. Eventration of the diaphragm
6. Central nervous system abnormality (especially cervical)
ANSWER
Our differential diagnosis included:1. Respiratory distress syndrome
2. Intracranial hemorrhage
3. Congenital heart disease
4. Congenital diaphragmatic hernia
5. Eventration of the diaphragm
6. Central nervous system abnormality (especially cervical)
CLINICAL PROGRESS
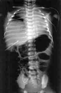
The baby was started on CPAP via nasal prongs for 1hour, but there was no improvement. He was intubated and mechanically ventilated on these settings: pressure of 18/5, rate of 30/min and FiO2 of 0.24. The stridor disappeared and it was easy to ventilate. Within few hours he had normal blood gases.A
chest Xray was repeated at this time.
ENLARGE
the chest X-ray
WHAT IS YOUR INTERPRETATION?
