Our Answer
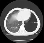
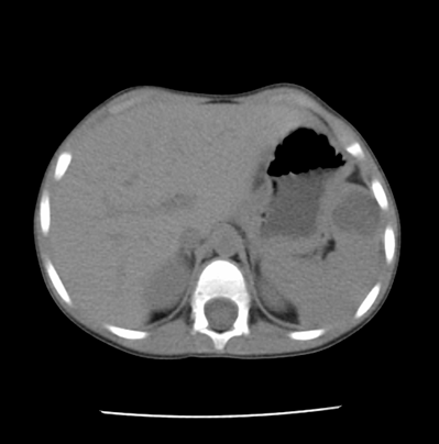
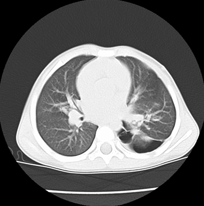
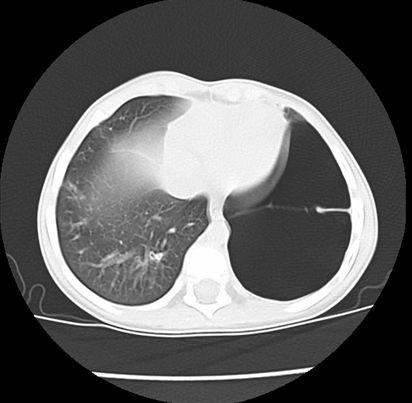
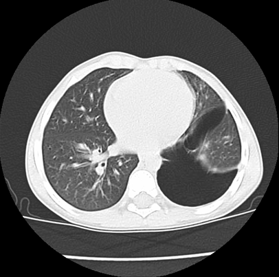
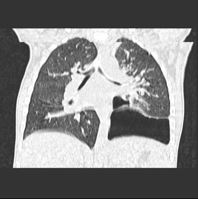
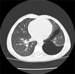
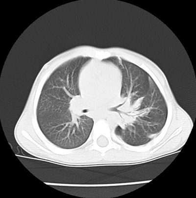
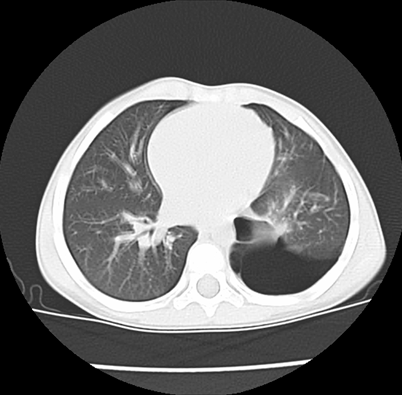
We asked for a Chest CT scan
![]() Figure 2 |
![]() Figure 3 |
![]() Figure 4 |
![]() Figure 5 |
![]() Figure 6 |
![]() Figure 7 |
![]() Figure 8 |
![]() Figure 9 |

We asked for a Chest CT scan
![]() Figure 2 |
![]() Figure 3 |
![]() Figure 4 |
![]() Figure 5 |
![]() Figure 6 |
![]() Figure 7 |
![]() Figure 8 |
![]() Figure 9 |