Page 6 / September 07
Next page / / References
We debated doing a lung biopsy and CAT Scan. We initiated IV methylprednisolone 30 mg IV BID and the the IV Septra was increased to 20 mg/kg dose.
A CT Scan was not performed as the patient was on dialysis, intubated and ventilated and it was felt to be technically too difficult with respect to the information we could obtain.
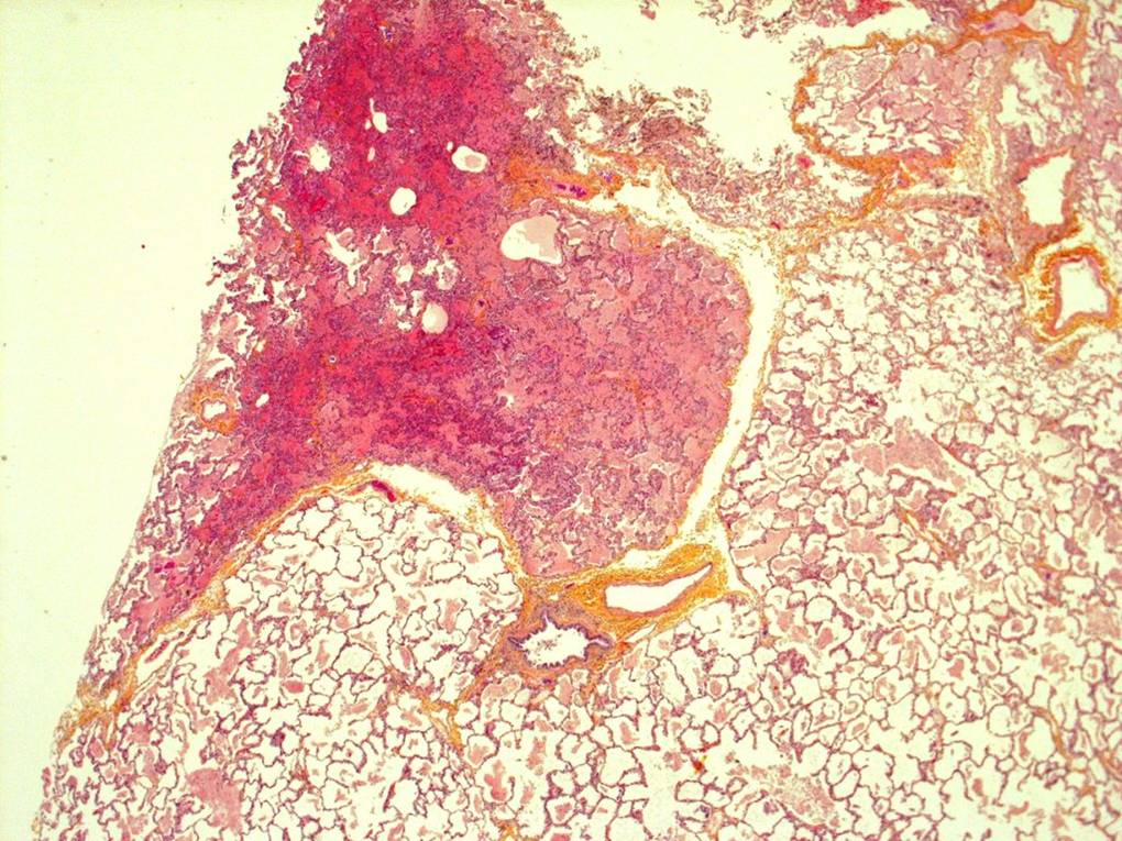
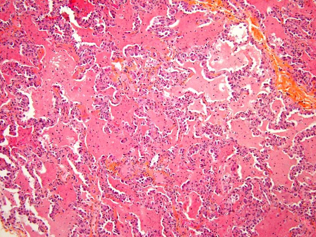
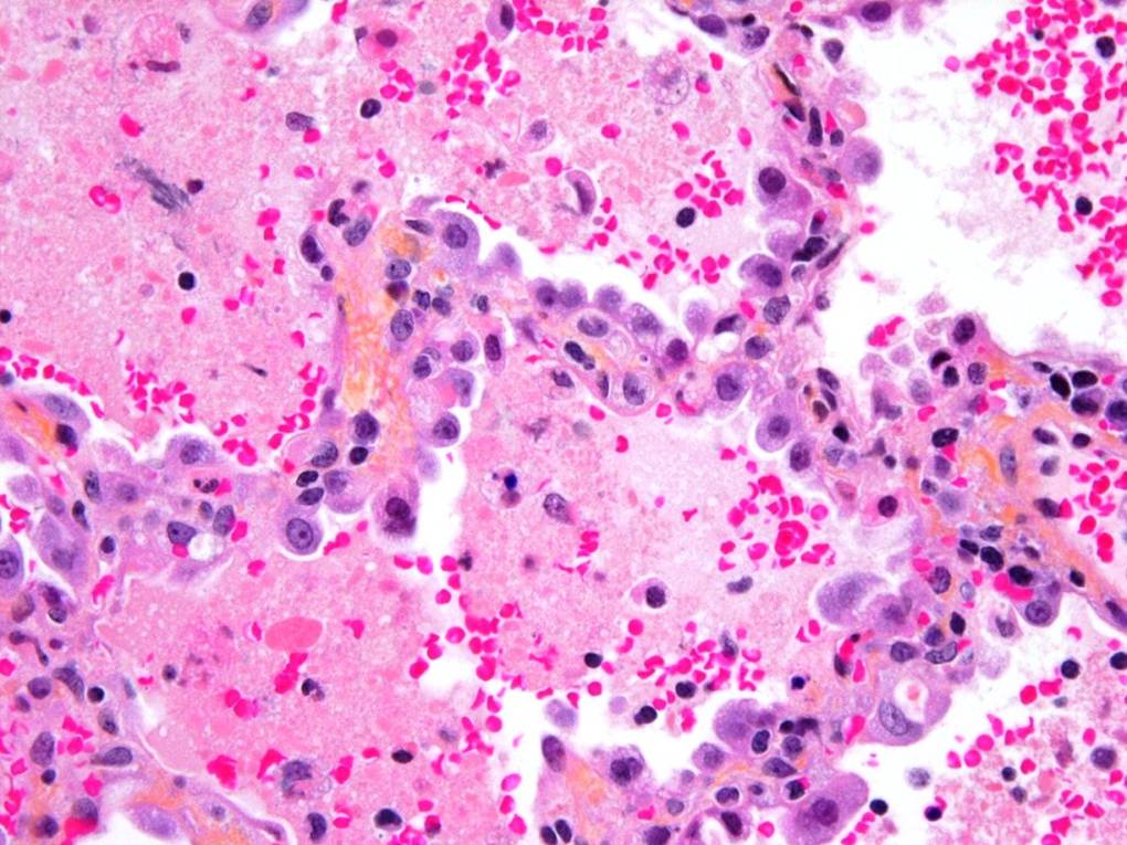
A lung biopsy was performed 24 hours after the steroids were commenced. The biopsy of the right middle lobe and right lower lobe was performed via a right thoracostomy. It was tolerated well with no air leak and no chest tube was required.
Please interpret the histology slides: (The final slide is a Periodic acid Schiff stain (PAS))
![]() |
![]() |
![]() |
| figure 3 | figure 4 | figure 5 |



