PRESENTING FELLOW
Tom Kovesi, MD FRCPCPediatric Respirologist, Associate Professor of Pediatrics
Children's Hospital of Eastern Ontario
University of Ottawa
THE CASE
Pseudomonas Lung Disease and An Elevated Sweat Chloride Not Due to Cystic FibrosisHISTORY
This 1-year-old male infant presented at 1 month of age with anorexia, failure to thrive, severe hyponatremia and hyperkalemia leading to an arrhythmia, and was admitted the Pediatric Intensive Care Unit (PICU) at the Children's Hospital of Eastern Ontario (CHEO), Ottawa, ON.At 3 months of age, he was re-admitted with an upper respiratory tract infection, fever, cough, and dyspnea. His symptoms failed to improve with salbutamol. He also received treatment with oxygen.
At 6 months of age, he was re-admitted to PICU with severe wheezing, dyspnea, and right upper and left lower lobe atelectasis. He received cefuroxime and clindamycin. Blood and viral cultures were negative.
At 9 months of age, he was again admitted with a wet cough, fever, and dyspnea which was again unresponsive to salbutamol. Nasal cultures were positive for RSV. He received sabutamol, oral dexamethsone, oxygen, and chest physiotherapy. Following this last admission, the patient had constant coryza, a harsh wet cough in the evening, and yellow or white sputum production. He had a few episodes of dyspnea and cyanosis. He had 3 hard stools per day.
PERINATAL HISTORY
The pregnancy was normal. The patient was born at term. After birth, he had jaundice requiring phototherapy.PAST MEDICAL HISTORY
The patient has a history of hypertension. Medications Kayexalate, Sodium chloride, Sodium bicarbonate, fluticasoneFAMILY HISTORY
The patient's parents were from the Middle East, and were first cousins. There was a family history of cerebrovascular accidents.PHYSICAL EXAM
On examination, a chubby 1 year-old infant was observed, who was in no apparent distress, although he did have a wet cough when placed supine. His SpO2 was 95% in room air. Examination of the ears, pharynx, heart sounds, and abdomen were normal. The chest was clear. He was not clubbed. He had no pedal oedema.LAB RESULTS
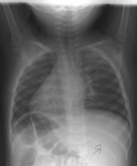
The patient's sweat chlorides were 101 and 95. CFTR gene screening was negative. HIV serology was negative. The IgG 9.75 (slightly elevated), and IgA, and IgM levels were normal. A barium swallow was normal. An ultrasound of the abdomen was normal. At the time of his initial presentation, he was found to have markedly increased Aldosterone levels, in presence of severe hyponatremia, hyperkalemia.![]()
![]()
Enlarge the CHEST X-RAY LEFT, enlarge the CHEST X-RAY RIGHT.
WHAT
IS YOUR INTERPRETATION OF THE XRAYS?
