OUR ANSWERS:
Chest
X-ray:
1. Under exposure film
2. Increasing consolidation
3. There is a question of an added density by breast shadow. There is
a mass like opacity but with no cavitation
DIFFERENTIAL DIAGNOSIS:
Fungal
infection
Viral
infection
T.B.
Necrotizing
pneumonia
Lung
abscess
Metastatic
lung cancer
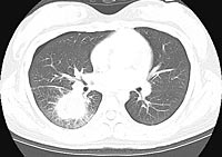
A CT SCAN was done and selected cuts are seen
below.
ENLARGE
this CT image.
ENLARGE
this CT image.
WHAT IS YOUR INTERPRETATION?
