Page 7 / Case 10.03
ANSWER
1. Coagulation defect
2. Fungal infection (aspergilloma)
3. Lung abscess
4. Broncho-arterial fistula
5. Pulmonary infarct or embolism
6. BOOP
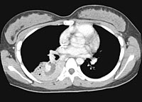
A repeat CT scan is seen below.
ENLARGE
this CT image.
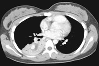
ENLARGE
this CT image.
WHAT
IS YOUR INTERPRETATION?
