Page 4 / Case 09.03
ANSWER
1)
Serum IgE - 3400IU/l and 4200IU/l and transient eosinophilia of 920/l
2) Aspergillus immediate and late allergy skin tests negative x 3. Panel of environmental aeroallergen skin tests negative. Also had negative specific Aspergillus antibodies. ABPA is therefore unlikely.
3) Stool examination for ova and parasites was negative.
4) Tests for respiratory viruses, mycoplasma, pertussis, chlamydia and new fungal pathogens were repeatedly negative.
5) Tuberculin skin test 0mm.Prior to April 2003 all sputa were negative for mycobacteria. A heavy growth of Mycobacterium Avium Complex was isolated on 3 separate sputa.
6) GI, endocrine and nutritional factors excluded.
ANSWER
1)
Serum IgE - 3400IU/l and 4200IU/l and transient eosinophilia of 920/l
2) Aspergillus immediate and late allergy skin tests negative x 3. Panel of environmental aeroallergen skin tests negative. Also had negative specific Aspergillus antibodies. ABPA is therefore unlikely.
3) Stool examination for ova and parasites was negative.
4) Tests for respiratory viruses, mycoplasma, pertussis, chlamydia and new fungal pathogens were repeatedly negative.
5) Tuberculin skin test 0mm.Prior to April 2003 all sputa were negative for mycobacteria. A heavy growth of Mycobacterium Avium Complex was isolated on 3 separate sputa.
6) GI, endocrine and nutritional factors excluded.
RADIOLOGY:
Compare
the CXR from May 2002 and June 2003.
ENLARGE
the TOP LEFT XRAY: Lateral chest, May 31, 2002
ENLARGE
the TOP RIGHT XAY: PA, May 31, 2002
![]()
![]()
ENLARGE
the TOP LEFT XRAY: Lateral chest, June 13, 2003
ENLARGE
the TOP RIGHT XRAY: PA, June 13, 2003
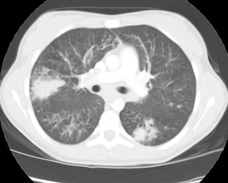
Below are selected CT images from June 2003
CT #15
(ENLARGE CT #15)
CT #20 (ENLARGE
CT#20)
CT #22 (ENLARGE
CT #22)
WHAT IS YOUR INTERPRETATION OF THESE XRAYS?
