Page 1 / Case12/00
PRESENTING FELLOW
Raphaël Chiron, Hôpital Sainte-Justine, Université de MontréalREASON FOR REFERRAL
Subacute respiratory distress in a 17 year-old girl.CASE PRESENTATION
A 17 year old girl, with a history of recurrent pyelonephritis, tonsilectomy, adenoidectomy, without allergy, drug use and no recent travel, complained at the beginning of September of a lumbar inflammatory pain with nocturnal waking. The pain partially resolved by using nonsteroidal antiinflammatory (NSAI) medications It was associated with dyspnea, but no thoracic pain.
At the end of September, she felt more tired and weak compared with the previous month. She had a dry cough, dyspnea after 5 meters of walking, orthopnea, weakness, anorexia, nausea, sweating and occasional shivering without fever. There was no vomiting, nor ear nose and throat symptoms.
On the first of October, dyspnea and orthopnea increased.
On the fifth of October, she presented to the emergency department due to increased and continuous dyspnea and insomnia. Her medication was rofecoxib, a NSAI, and a contraceptive medication.
On the sixth of October she was admited to the intensive care unit. Dyspnea on rest, dry cough, weakness, tiredness, anorexia, and nausea, but no pain were noted. The physical exam revealed a pulse of 130/mn, blood pressure of 170/64, respiratory rate of 80/mn, SaO2 of 97% using a rebreathing mask at 100% FIO2. There were no thoracic retractions and auscultation revealed decreased intensity of breath sounds in the lower lobes, bilateral brocnial breath sounds in the lower lobes, and fine inspiratory crackles. The cardiac sounds were normal. The remainder of the exam reaveled non fixated and non painful cervical lympadenopathies.
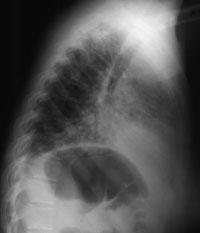
Please look at the chest X-rays.
![]()
![]()
Enlarge RIGHT IMAGE / Enlarge LEFT IMAGE
WHAT IS YOUR RADIOLOGICAL DESCRIPTION ?
1 2 3 4 5 6 7 8 9 10
