Page
6/ Case12/00
PATHOLOGY
MICROSCOPIClow and high magnifications

1 lymphoma HE low magnification
ENLARGE
H/E coloration
Accumulation of cells like a mass along vessels within normal lung
parenchyma.
Smaller accumulation of cells as a micronodule.
2 lymphoma HE mid magnification
ENLARGE
Surprisingly, there is no cellular accumulation in the air ways.
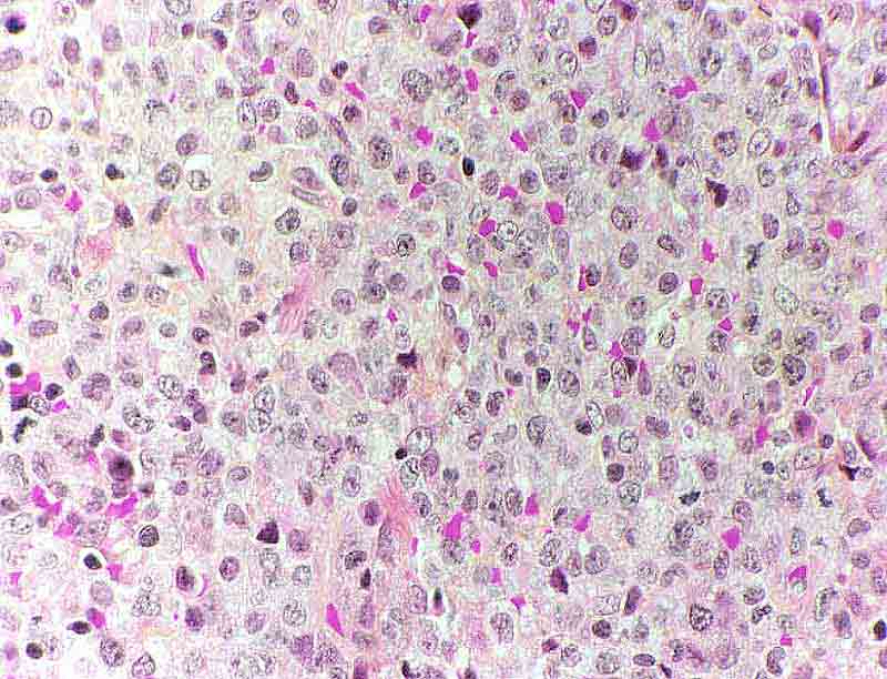
3 lymphpma HE high magnification
ENLARGE
The infiltrate is composed by large lymphoid cells
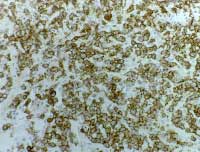
IMMUNOHISTOCHEMICAL
TECHNIQUES
![]()
ENLARGE
Demonstrated a strong positive staining for the CD30
![]()
ENLARGE
and
EMA antigens
CYTOGENETICAL
ANALYSIS
2.5 translocation
WOULD ANYONE CARE TO OFFER A FINAL DIAGNOSIS ?
1 2 3 4 5 6 7 8 9 10
