PRESENTING
FELLOW
Manisha Witmans, Pediatric Pulmonary Fellow
University of Calgary, Alberta Children's Hospital
Calgary, Alberta, Canada
CASE
PRESENTATION
"Ongoing oxygen requirements after a pneumonia."
HISTORY
A six and half year old female presented with a five day history of
pleuritic chest pain, fever, and cough in April 1998. She had no hemoptysis.
There was no history of travel or exposure to sick contacts.
Additional history revealed that the patient was born at 25 weeks gestation,
weighing 750 grams. Her neonatal complications included: hyaline membrane
disease for which she received one dose of surfactant. She required
mechanical ventilation for 36 days and oxygen therapy for 8 months for
bronchopulmonary dysplasia. Her patent ductus arteriosus was ligated.
She had anemia of prematurity for which she received numerous blood
transfusions.
She was discharged from follow-up at the BPD clinic after oxygen was
discontinued in 1992, as there were no concerns regarding her growth
or health status from a pulmonary point of view. Our patient had episodic
upper respiratory tract infections, but did not require any supplemental
oxygen nor was she hospitalized again until April 1998.
Further history revealed a family history of asthma and hayfever in
her brother. There were no smokers, nor pets but she had exposure to
horses on a farm. Her review of systems was unremarkable except that
she was thin and described as a "picky eater".
The initial physical examination in April 1998 revealed, a child in mild respiratory distress, with cyanosis in room air. She was tachycardic, tachypneic and febrile. She was a thin girl (~5% for height and weight), with dry skin.
The respiratory examination revealed dullness to percussion in the right upper lobe, crackles and wheeze bilaterally. There was no clubbing and the rest of her examination was normal.
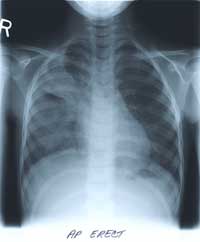
BELOW
is her CHEST X-RAY taken during the hospitalization.
Previous films from her NICU stay are not available.
![]()
Enlarge the CHEST X-RAY LEFT, enlarge the chest x-ray RIGHT.
WHAT ARE YOUR FINDINGS?
