ANSWER
Progressive increasingly diffuse opacities.
She underwent an open lung biopsy.
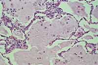
BIOPSY SLIDES are presented BELOW.
CLICK on EACH IMAGE to see the slide ENLARGED.
![]()
FINDINGS
+ periodic acid schiff stain, alveoli filled with material but
normal architecture, no fibrosis and no lymphocytic infiltrate.
Large macrophages, no organisms seen, type II cell hyperplasia.
THE
FINAL DIAGNOSIS
pulmonary alveolar proteinosis.
FOLLOW-UP
Her findings were essentially the same on examination. She had ongoing
oxygen requirements and remained well until another respiratory exacerbation
in April 2000.
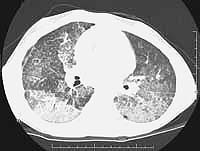
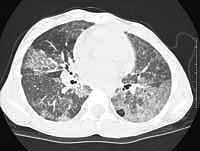
She was treated for viral pneumonia at that time and was noted to have progressively increased oxygen requirements. A high resolution computed axial tomography was done in June 2000, which showed patchy ground glass opacification, prominent azygous lobe "crazy paving" was noted. The exercise test showed that she had difficulty with the test and she had moderate hypoxemia with exercise, desaturation to 80%. Room air oxygen saturation was 89% at rest.
PULMONARY
FUNCTION TEST RESULTS BELOW:
* indicates suboptimal study as she had difficulty performing the maneuvers

As a result of her clinical deterioration, she has undergone several therapeutic broncholaveolar lavages. There were technical challenges involved in doing the bronchoalveolar lavages and she did have complications.
TABLE OF PROCEDURES AND COMPLICATIONS
Despite some improvement with the bronchial washings, she has continued to require oxygen (at 3L/min continuous) and has failure to thrive. Her weight is 22.6 kg (< 5%ile) and height (128 cm ~5%ile). Her echocardiogram is normal and she is not polycythemic as a result of hypoxemia. The pulmonary function tests show a moderate restrictive defect. Her most recent high resolution CT scan shows persistent ground glass infiltrates and crazy paving despite bronchial lavages.
![]()
CT
scans: original - after first wash compared to most recent HRCT.
LEFT
CT SCAN (June), RIGHT
CT SCAN (August)
WHAT WOULD YOU DO NOW?
