Page
2/Case09/01
Pulmonary
function tests (PFT's) were done as part of the initial visit.
Only
spirometry was available.

BELOW: Flow Volume Loop for PFT 1

DO YOU HAVE AN INTERPRETATION OF THE PFT'S?
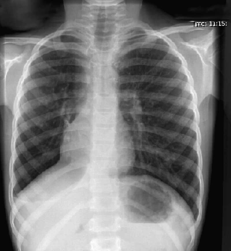
In addition a chest x-ray was ordered. PRESENTED BELOW.
![]()
![]()
ENLARGE X-ray left, X-ray right.
DO YOU HAVE AN INTERPRETATION OF THE CHEST X-RAY?
