DIFFERENTIAL DIAGNOSIS
At this point the working diagnosis was pneumonia. However it was felt that his presentation was not consistent with an uncomplicated pneumonia and that there were underlying factors predisposing him to this infection and atelectasis. Given that his CXR appeared to have more atelectasis than infiltrate, and with a presumed diagnosis of GER, a question of aspiration was strongly considered.
He was admitted and treated with intravenous antibiotics. He improved quickly. During this time a work up for his cough was done. A sweat chloride test, immunoglobulin levels including subclasses and a pH probe were done. Only the pH probe was abnormal. It showed strong evidence of gastroesophageal reflux.
He was started on domperidone at this time. He was discharged home and a follow up CT scan of his chest arranged for a few days later as an outpatient.
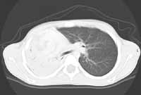
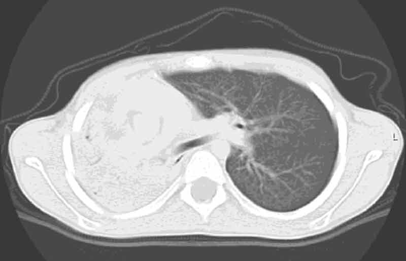
The
CT scan is presented below.
This view is a transverse cut just below the carina.
WHAT
IS YOUR INTERPRETATION OF THE CT IMAGE?
