Page
7/Case09/01
The CT scan showed complete obstruction of the right main stem bronchus with resultant atelectasis of the lung.
WHAT INVESTIGATION WOULD YOU DO?
A
rigid bronchoscopy was done.
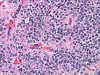
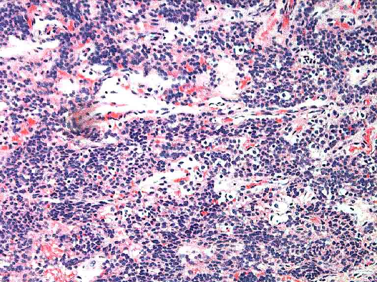
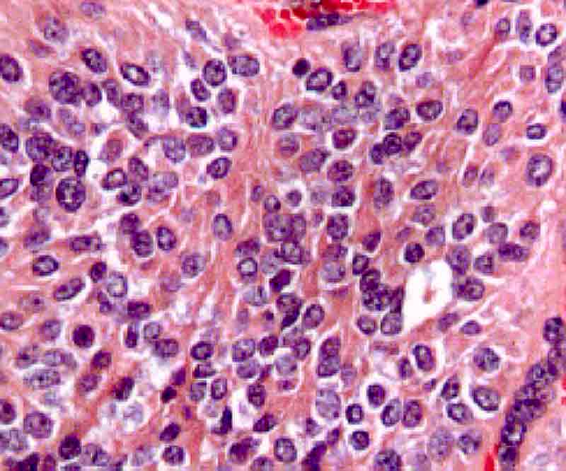
This revealed total occlusion of the right mainstem bronchus with pink-colored
granulation tissue. The tissue was friable and bled easily with the biopsy.
DO YOU HAVE A DIFFERENTIAL DIAGNOSIS AT THIS POINT?
A
culture grew group A streptococcus.
The biopsy was 'typical' for this disease.
![]()
ENLARGE a low power magnification of the biopsy.
![]()
DO YOU HAVE AN OPINION OF THE BIOPSY ?
