WE
CONSIDERED:
Bacterial
pneumonia (S. pneumonia, H. influenzae, S. aureus)
Mycobacterial
infection including tuberculosis (TB) and non-tuberculous mycobacterium
Fungal
infection
Malignancy, most likely lymphoma
HIV with a secondary bacterial infection, pneumocystis carinii pneumonia
(PCP).
She
was started on vancomycin, cefotaxime, and metronidazole.
Investigations that we conducted:
CT
of the chest
Blood culture
Bronchoscopy and bronchoalveolar lavage
Samples were sent for:
TB (PCR, acid fast stain, mycobacterium culture)
Bacterial, viral, PCP and fungal culture
Serum Immunoglobulins
CSF for Gram stain and culture
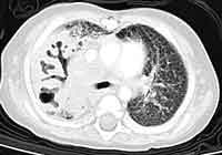
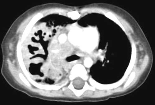
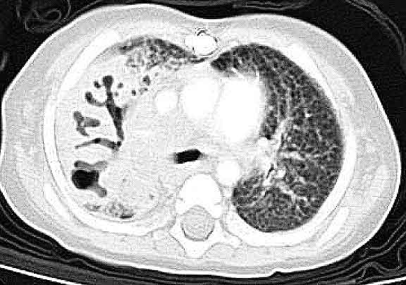
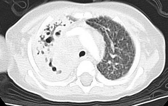
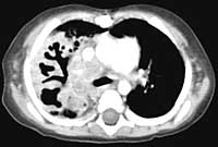
Below are CHEST CT results.
Enlarge
this CHEST CT.
Enlarge
this CHEST CT.
Enlarge this CHEST CT.
WHAT
IS YOUR INTERPRETATION FOR THE CHEST CT?
