CLINICAL COURSE
We have now followed this girl forward in time another 2 and 1/2 months. She has been doing well at home, performing all of her activities of daily living, and parents report that she is very happy.
She continues on 2.5 l/min nasal prong oxygen 24 hours per day and 1.5 mg/kg prednisone by mouth daily.
She has had no weight gain and her oxygen saturations are steadily dropping, with an average of 85% in oxygen as above.
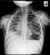
Her follow-up CXR is shown below. It shows a shrinking right lung with continued bilateral opacifications.
CXR
from Aug 24
ENLARGE
Now
how would you treat this child?
What clinical parameters or tests would you follow to assess her ongoing
lung disease? When would you give further therapy?
What would you try next in terms of therapy?
WOULD ANYONE CARE TO OFFER A DIFFERENTIAL DIAGNOSIS AT THIS POINT?
THANK YOU FOR JOINING US FOR THE CROSS-CANADA PAEDIATRIC RESPIRATORY ROUNDS. HOPE TO SEE YOU NEXT TIME.
Thank you to AstraZeneca for their support of this program and website.
