Page
3/Case
02/01
PHYSICAL EXAMINATION
On physical exam she was alert, happy and comfortable. Her height and weight were on the 50th percentile. She had no finger clubbing and was not cyanotic in room air.
She was tachypneic with a respiratory rate of 40 and tachycardic with a heart rate of 150. She was afebrile. Her oxygen saturation was 90% in room air.
The chest exam revealed mild intercostal retractions. Auscultation of the chest revealed symmetrical shallow breath sounds with no audible crackles or wheezes. There were multiple subcutaneous nodules palpable on the limbs.
The
remainder of the exam, including ear, nose and throat, cardiovascular,
abdominal and muskuloskeletal, was normal.
CURRENT
LABS
VBG: PH 7.41 PCO2 39 BICARB 24
HB 95, WBC 10.3, ESR 54, AST 133, ALT 51
IgG, IgM, IgA, C3 AND C4 NORMAL
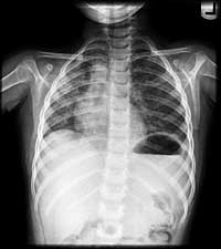
YOU CAN REVIEW THE CXR FROM HER INITIAL FLU-LIKE ILLNESS TWO MONTHS AGO AND COMPARE IT TO HER CURRENT CXR.
![]()
Repeat
of March 22 (with initial flu-like illness) for review
ENLARGEMENT
May
22 (current exam)
ENLARGEMENT
Two
other intervening CXR's are also reviewed and you confirm that her radiologic
imaging shows migrating patchy opacifications (initially worse on the
left and now worse on the right), which appear like "ground glass" on
the current CXR, and show a mixed airspace/interstitial pattern and low
lung volumes.
