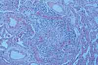
PATHOLOGY SLIDES
![]()
RESULTS OF FURTHER INVESTIGATIONS
SKIN BX: PANNICULITIS NOT VASCULITIS, NO DEPOSITION OF IGG, IGA, IGM, C3 OR FIBRINOGENBMA AND BX: NORMAL
LUNG
BX: BRONCIOLITIS OBLITERANS ORGANIZING PNEUMONIA (BOOP)
CULTURES NEGATIVE: BACTERIAL, FUNGAL, VIRAL, CMV, CHLAMYDIA, PCP, LEGIONILLA
PCR NEGATIVE FOR: MYCOPLASMA, HSV1, HSV2, EBV, HHV6, 7 8, VZV CMV PCR POSITIVE
As the pediatric respirology consultant, you now give the rheumatologists the definitive pathological diagnosis of Bronchiolitis Obliterans Organizing Pneumonia (BOOP).
The rheumatologists ask you what that means, where it came from, how to treat it, and what her prognosis is. You decide you better look at the literature, and find out that most of the literature is in adults and that there are only a few case reports of BOOP in children.
