Page
5 / Case 03.03
CBC: Hb 119, MCV 73, decreased lymphocytes, normal platelets
C reactive protein/ ESR: Normal
Blood Culture: Negative
Electrolytes: Albumen 24; protein 58; Calcium normal LDH 181 (normal) Lipase 300 (elevated); Liver function tests - normal
Iron studies: decreased iron, decreased Ferritin, increased TIBC, decreased Transferrin saturation (iron deficiency) normal reticulocyte count
Stools: Negative for reducing substances, occult blood 1+ Blastocystis hominis found (treated with metronidazole subsequently)
Alpha1 antitrypsin serum/spot stool: normal
Immunoglobulins and subclasses: normal
Sweat test: negative
EKG/ Cardiology review: normal
NEXT PAGE 1 2
3 4 5
6 7 8
9 10 11
12 13 14
15 16
ANSWER
This boy had the following investigations at this point: CBC: Hb 119, MCV 73, decreased lymphocytes, normal platelets
C reactive protein/ ESR: Normal
Blood Culture: Negative
Electrolytes: Albumen 24; protein 58; Calcium normal LDH 181 (normal) Lipase 300 (elevated); Liver function tests - normal
Iron studies: decreased iron, decreased Ferritin, increased TIBC, decreased Transferrin saturation (iron deficiency) normal reticulocyte count
Stools: Negative for reducing substances, occult blood 1+ Blastocystis hominis found (treated with metronidazole subsequently)
Alpha1 antitrypsin serum/spot stool: normal
Immunoglobulins and subclasses: normal
Sweat test: negative
EKG/ Cardiology review: normal
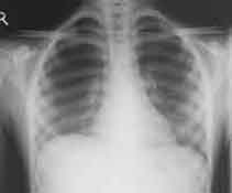
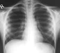
A chest radiograph was performed.
Enlarge the X-ray on your LEFT, enlarge the X-rray on your RIGHT
WHAT IS YOUR INTERPRETATION?
